MDT战病魔,八旬耄耋见曙光
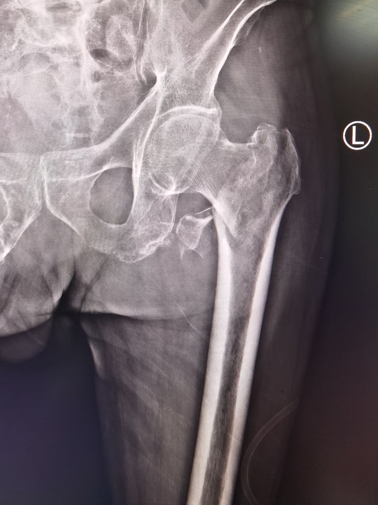
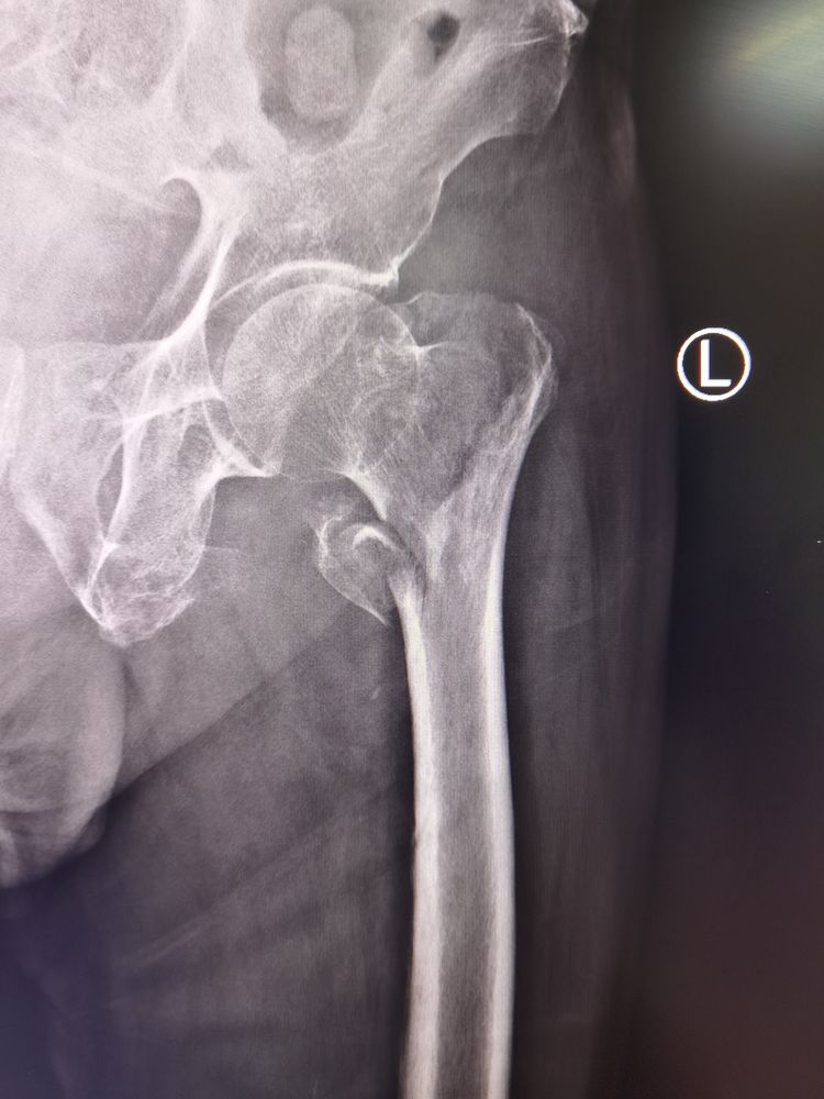
患者81岁高龄男性,因反复胸闷、气短3年,于省级三甲医院诊断为“难治性心力衰竭”,并多次住院治疗,长期口服抗心衰药物控制病情;2020.8.2患者不慎摔伤,就近三甲医院住院,诊断为“左侧股骨粗隆间骨折”,考虑患者病情危重,期间多次会诊后不予安排手术治疗;故于2020.8.11转至我院心血管二病区,由卢玉俊副主任医师团队收治,诊断为:慢性心力衰竭急性加重、心功能Ⅳ级,左侧股骨粗隆间骨折,双侧胸腔积液并双肺下叶膨胀不全,多处Ⅲ期压疮。经过卢玉俊副主任医师团队的精心治疗后患者内科症状得到一定改善;为进一步控制患者病情,由麻醉手术科冯秀玲主任牵头,关节外科曾昭洋主任及ICU王煜主任共同会诊后,进行充分论证,精心准备,于2020.8.22上午9时患者接入手术室,由于患者有严重的腰椎侧弯畸形,增加麻醉难度,由冯秀玲主任亲自为患者实施椎管内麻醉,待麻醉成功后,患者出现房颤,心率很快由70上升至120次左右,在冯秀玲主任医师麻醉团队有条不紊地对症治疗下,患者心率得到控制;接下来由曾昭洋主任医师团队闭合复位左侧股骨粗隆间骨折,C臂透视下实施PFNA内固定术,手术历时30分钟,骨折断端复位满意,内固定牢靠,术后转至我院重症医学科(ICU),由王昱主任医师ICU团队接手继续患者术后治疗,目前患者病情在ICU医师团队的密切治疗下,术后恢复良好。
冯秀玲主任亲自为患者实施椎管内麻醉

麻醉科王赛君医师术中监护患者

术后关节外科陈青海医师与ICU张世安医师共同查房

术前


术中透视



上一篇:
股骨颈骨折老年患者卧床3月,重见曙光[ 09-03 ]
下一篇:没有了!








